
不管是自然受孕还是做试管婴儿,怀孕对于所有夫妻来说都是一件值得开心的事情。
发现自己怀孕之后,都会变得小心翼翼,定期去医院检查,以确保胎儿正常发育,每一项检查项目都不敢轻易懈怠。
但是!有时候就是天不遂人愿。
有的准妈妈去医院检查后却被告知:空孕囊,这到底是怎么回事?

在没有怀孕之前,听说过胚胎停育这个词,但对于空囊的认知少之又少,简直就是一头雾水。
这是今天一位孕妈妈在后台的留言:
医生在那解说了半天,我一个字也没听进去,全身力气都跟抽空了一样,直接愣在了那里。
对于这个专业名词我也听不懂,我只知道我的孩子保不住了。
但是让我想不通的是,孕期一直都有按时去检查,到底是哪一步出错了?”
出现类似情况的姐妹肯定不在少数,果然应了那句话,通往好孕的道路往往是相同又简单的,但是不孕的原因却错综复杂。
那么,这个所谓的「空孕囊」和「胚胎停育」之间,究竟是怎么一回事?

今天就来细聊一下,希望能给姐妹们带来一些有用的信息。
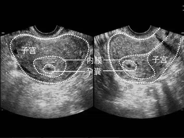
1、什么是空孕囊?
从字面理解,空囊就是一个空的孕囊,对,就是这个字面意思!
不过也不全对,它除了有这个意思,还包括其他两个方面,有一点点卵黄囊和有一点点胎芽也算空孕囊。
所以总的来说,空囊的现象包含3种:只有孕空囊、有卵黄囊、有一点点胎芽。

2、空囊=胎停?
空孕囊严格来说是胎停的一种,它的最终走向也是胎停。但是,它和胎停又不完全是一回事。
可以从两个维度去定义空囊 :
①受精卵着床后发育异常,尚未形成胚胎就停止发育。
②B超:宫腔内只有孕囊而无胎芽组织的异常妊娠,孕囊直径>20mm,而囊内仍未见到胚芽,提示空囊。
如果孕60天左右,只有孕囊,没有胚芽和卵黄囊及胎心搏动,基本就是空囊了。
空囊一般轮廓不规则或有缺损,常小于孕龄呈空虚状况,张力差。
空囊由于胚胎死亡或枯萎,可位于宫腔中央或偏向一侧,一般下移至子宫颈内或宫腔下段;空囊随孕龄不生长或生长缓慢。
而胚胎停育,在宫腔内有可能会看到胎芽和原始心管搏动的情况的,但是经过观察后胎芽没有继续生长,或者是原始心管搏动消失了。
而且!空囊大多是和胎儿先天发育不足有关系,而胎停育有可能是正常胎儿停止发育。
3、空孕囊是什么原因造成的?

“农民伯伯在地里种上庄稼,原本指望庄稼都能开花结果,卖个好价钱。
可是同一块地的庄稼,有的涨势良好,到了秋天硕果累累,有的苗长得老高,花开的比谁都漂亮,但就是不结果。”
(1)空囊第一大原因 : 胚胎染色体异常
也就是从基因上就有问题,有的姐妹从一开始孕三项就不好,最终空囊,这证明从一开始胚胎质量就有问题,即使再怎么保胎也没用。

hcg一直涨,但是就是不翻倍,医生也一直给不了准确的结论。
如果真的急着想要个结果的话,医生一般都是这样比喻:
你这就像庄稼,别人这个时候都枝繁叶茂了,你这才发芽,有个两三片叶子,既不能给你诊断胎停,又不能诊断正常,只能继续观察。
就这样一直到孕60天,如果还没见胎心胎芽,这就可以判定胚胎停育。
还有一种情况是各项数值都很好,甚至比正常胚胎都要好,可是就是没有胎心胎芽。
就跟本段开头的例子一样,苗也很高了,花也开过了,可是不结果。
有医生对此有过相应的解释:血hcg水平跟绒毛的发育情况相关,但跟胚胎不相关。
只要有hcg就会有妊娠囊,但是,不管你hcg多高,都与卵黄囊、胚芽、心管搏动无关!
这就很容易理解了,有些人hcg不低,但是妊娠囊内啥都看不见。
但是这时候就有姐妹疑惑了:
我都做的是三代试管,胚胎也做过筛查,为什么还是会出现空孕囊的情况?
这个时候就要牵扯出第二个原因了。
(2)空囊的第二大原因:免疫异常
在免疫要素方面,如果孕妈和肚子里的小家伙免疫不和,也会容易出现母体排斥胚胎的情况。
从而形成封闭抗体,导致空孕囊的情况出现,所以如果可以提前了解这方面原因对自己和胎儿都有好处。

通俗解释就是:胎儿这个外来物种,要想生存下来,必须在妈妈子宫租上十个月房子。
一般情况下妈妈身体是允许的,可是有些妈妈身体里的免疫系统把小家伙当成癌细胞了,进来就打,靠近就杀。
小家伙说,那行吧,我先想办法把行李放进去,我自己再想办法,没想到,直到关门时间,小家伙都没逃脱掉免疫系统这个警察的监管住进来,最后只空余一堆行李(绒毛膜)。

4、发现怀有空囊怎么办?
(1)一定要做胚染检查
对于自然受孕的情况下没有胚胎染色体分析的结果而去讨论空囊妊娠的原因,小橄榄愿称之为有超能力。
如果胚胎染色体最终能够被证实是正常的,那免疫因素才是真正的原因。
如果染色体是异常的,说明这是真正的优胜劣汰。
心大的姐妹可以不用检查休息一下进行下次备孕,玻璃心的姐妹可以做一些凝血免疫相关的检查,再进行备孕。
(2)怀有空囊,一般推荐自然流产
空囊大多属于胚胎发育不良,一般停药后很快hcg数值能掉下来,即使是hcg数值很高的情况,因为没有胎芽的发育,一般也不会对身体造成严重后果。
不太推荐人工流产,对我们这群姐妹来说,宫腔粘连是我们时刻需要严防死守的大敌,清宫次数和宫腔粘连风险可是正相关,实在不行还可以药流。
5、免疫因素导致的空囊该怎么办?
对空囊的治疗往往是倾向于免疫干预,孕前使用脂肪乳、美卓乐,孕后使用纷乐、环孢素,适当地注射低分子肝素。

值得注意的是,这些都是要在找到真实的原因的情况下,在医生指导下使用的。
除了抵制不良的免疫因素,加强血液供应,还会使用到一种叫做粒细胞刺激因子的药物。
粒细胞是骨髓里面的细胞成分,人类胚胎的卵黄囊其内含的细胞主要以原始的造血干细胞为主,原始的造血干细胞主要分成三系:红细胞系、粒细胞系、血小板系。
而粒细胞系具有较强的分化潜能,使用粒细胞刺激因子,可以通过刺激卵黄囊内干细胞分裂分化,增强胚胎自身的生长潜能。
一方面就是要改善血液供应,改善免疫环境,另一方面提高胚胎自身的生长能力,从里到外入手去帮助胚胎发育,这种方法的效果是不错的。

看到这里是不是有的姐妹开始蠢蠢欲动想立即下单统统买回家,恨不得立刻就保胎!打住一下,别冲动!

都说 : “是药三分毒”,其实这个方法也是会带来一定的危险。
首先,粒细胞刺激因子除了可能让妊娠囊长出卵黄囊并刺激胚胎发育之外,也会刺激注射者的骨髓,导致一种称为“类白血病反应”的现象,这种现象会大幅增加血液黏稠度,直接抵消低分子肝素的抗凝效果。
如果是一些ACA或其他自身抗体阳性的患者使用,还可以诱发自身免疫异常的加重。
所以,小橄榄在此也提醒各位姐妹 : 请一定要遵医嘱用药,切勿擅自用药!切勿擅自用药!切勿擅自用药!!!重要的事情说三遍!

最后小橄榄总结一下,空囊到底是什么原因形成的,目前医学上并没有一个确切的研究结论。
小橄榄上面列举的两大原因只是基于目前的研究成果,所以对于空囊的问题我们还有很多未知的领域需要去探索,希望以后能有更多的研究证实,给空囊的姐妹们一个”交代”。
以上所有的结论仅仅是作为咨询分享,不作为任何医学指导,具体情况请根据您的专业医生建议来决定。
最后,如果各位姐妹有其他相关的问题或需要试管助孕,可以扫描下方二维码联系我们,我们将用专业的技术,敬业的态度,职业的修养,高成功率的成绩,全身心助你成功怀孕!

小提示
最近小橄榄发现微信进行了规则调整,如果不经常点“在看”的话,可能您就看不到【好孕小百科】的推送了。
小橄榄非常希望能让更多人了解试管好孕知识,也希望为更多想要宝宝的家庭带来好孕,所以请大家阅读完文章且喜欢的话,记得给小橄榄“在看”“点赞”“分享”三联哦~





声明:本文为原创文章,如若转载,请注明出处:https://mp.ivf-8.com/article-7999.html
任何关于疾病的建议都不能替代执业医师的面对面的诊断和治疗,本文内容仅作为参考信息,本站不承担由此引起的法律责任。
