剖宫产后再次怀孕,这个“拦路虎”要小心!

随着三胎政策的开放
越来越多的高龄姐妹
再次步入孕妈的队列
其中不少孕妈
都是有过剖宫产史的

对于这类孕妈而言
怀上了是一件喜事
但也要特别注意那条“疤痕”
可能会对母婴产生致命威胁
1、女性健康的“隐形炸弹”
子宫瘢痕妊娠,简单来说,就是受精卵着床在既往剖宫产子宫切口的瘢痕处。
女性在接受剖宫产手术后,子宫切口处会形成瘢痕,当再次怀孕时,受精卵在运行过程中,可能会被子宫瘢痕处的微小裂隙吸引,从而着床在此处。

随着剖宫产率的升高,这种疾病的发生率也呈现上升趋势。
子宫瘢痕处的肌层薄弱,且血管丰富程度与正常子宫肌层不同,随着胚胎的生长发育,绒毛会侵入瘢痕组织,甚至穿透子宫壁,可能引发一系列严重的并发症。
在妊娠早期,可能会出现阴道大量出血,若不及时处理,会导致失血性休克,危及生命;妊娠中晚期,随着子宫的增大,瘢痕处的肌层无法承受胎儿生长的压力,可能发生子宫破裂,会对胎儿造成致命伤害,也会让孕妇面临子宫切除甚至死亡的风险。
此外,即便成功妊娠至足月,在分娩时也可能出现胎盘异常,如胎盘植入、前置胎盘等,增加产后出血和感染的风险。

• 多次剖宫产、子宫切口愈合不良、既往有子宫手术史(如子宫肌瘤剔除术)的女性,发生子宫瘢痕妊娠的风险也会更高。
2、如何诊断和治疗?
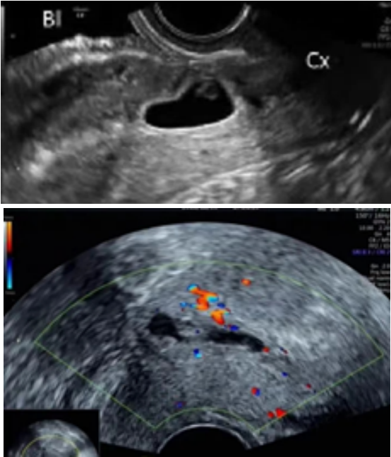
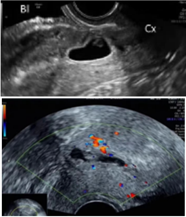
面对瘢痕妊娠,超声发挥不可替代的作用,阴道彩超是诊断瘢痕妊娠的首选方法,首次超声检查建议在孕8周前进行,明确妊娠囊与瘢痕位置关系。
根据超声妊娠囊(CSP)的不同超声表现,将其分为以下三种类型,其声像图特征分别如下:
🔹I型
妊娠囊部分着床于子宫瘢痕处,部分或大部分位于宫腔内,少数或达宫底部宫腔;
• 妊娠囊与膀胱间子宫肌层厚度>3mm
• CDFI:瘢痕处见滋养层血流信号(低阻血流信号);
• 此型囊胚着床于无缺损的瘢痕上。

🔹II型
• 妊娠囊与膀胱间子宫肌层厚度≤3mm;
• 此型囊胚着床于缺损瘢痕的裂缺内。

🔹III型
妊娠囊完全着床于子宫瘢痕处肌层并向膀胱方向外凸;
• 妊娠囊与膀胱之间子宫肌层变薄,甚至缺失,厚度≤3mm;
• CDFI:瘢痕处见滋养层血流信号(低阻血流)。

🔹III型中特殊的超声表现:包块型
• CDFI:包块周边见较丰富的血流信号,可为低阻血流,少数也可见少许血流信号、或无血流信号。

一旦确诊为子宫瘢痕妊娠,应根据患者的具体情况制定个性化的治疗方案。治疗的原则是终止妊娠,控制出血,保护生育功能。

对于早期发现、病情较轻的患者,可以采用药物治疗,如甲氨蝶呤(MTX)。甲氨蝶呤可以抑制滋养细胞增生,破坏绒毛,使胚胎停止发育,从而减少出血。
药物治疗需要在医生的密切监测下进行,定期复查血人绒毛膜促性腺激素(β-hCG)和超声,观察治疗效果。

如果药物治疗效果不佳,或者患者出现大量出血、子宫破裂等紧急情况,需要及时进行手术治疗。
手术方式包括清宫术、子宫瘢痕妊娠病灶切除术等。
• 子宫瘢痕妊娠病灶切除术则可以更彻底地清除妊娠组织,修复子宫瘢痕,适用于病情较复杂的患者。
3、如何预防?
预防子宫瘢痕妊娠的关键在于合理控制剖宫产率。
女性在选择分娩方式时,应根据自身情况和医生的建议,尽量选择自然分娩,减少剖宫产的次数。
对于已经进行过剖宫产的女性,再次怀孕前应进行全面的孕前检查,评估子宫瘢痕的愈合情况。如果发现子宫瘢痕愈合不良,应在医生的指导下进行治疗,待瘢痕愈合良好后再考虑怀孕。
在怀孕期间,尤其是孕早期,要及时进行超声检查,尽早发现孕囊的着床位置,以便及时采取干预措施。

总的来说,子宫瘢痕妊娠虽然危险,但只要我们提高警惕,做好预防和早期诊断,就能够最大限度降低危害。
希望每一位备孕女性都能及时了解这种疾病,保护好身体,迎接健康宝宝的到来。

– End –

|三代试管婴儿|泰国试管婴儿|
|美国试管婴儿|俄罗斯试管婴儿|
|乌克兰试管婴儿|赴美生子|冻卵|冻精|爱心妈妈|
免费咨询热线:4008-257-611
香港/泰国/美国/德国/瑞士/日本/乌克兰/俄罗斯/韩国等国医疗资源
声明:本文为原创文章,如若转载,请注明出处:https://mp.ivf-8.com/article-20316.html
任何关于疾病的建议都不能替代执业医师的面对面的诊断和治疗,本文内容仅作为参考信息,本站不承担由此引起的法律责任。
