
世界之大,无奇不有。
每当我为一件事感到震惊的时候,总有另一个更惊为天人的事情等着我。

在文章开始之前,先问一句:
“你见过一个男性的染色体检查出是女性的情况吗?”
反正我没见过,网友们也表示很震惊。

为啥会说到这个话题呢,我们来看看下面这个新闻就知道了(别眨眼,否则错过精彩部分)
说实话任凭谁都会觉得不可置信。夫妻恩爱五年,一觉醒来丈夫变“姐妹”,小说都不敢这么写。
我们简单来看看事情的经过:
小刘(化名)和丈夫结婚5年,婚后生活和谐,夫妻恩爱。
然而,身边的朋友都开始二胎三胎了,他们夫妻却迟迟没能迎来他们的孩子,素来淡定的小刘,再也按捺不住内心的忐忑,便和丈夫来到医院检查,殊不知,丈夫的检查结果却给了夫妻俩一个晴天霹雳……
丈夫多次精液常规提示精液里没有精子,亿万“精”兵为何全军覆灭?

Y染色体微缺失检测报告提示:Y染色体AZFa、 AZFb、AZFc区域均缺失,SRY基因阳性(提示无精子是因为Y染色体微缺失所致)

性激素六项报告提示促卵泡激素和促黄体生成素升高(符合高促性腺激素性性腺功能减退)

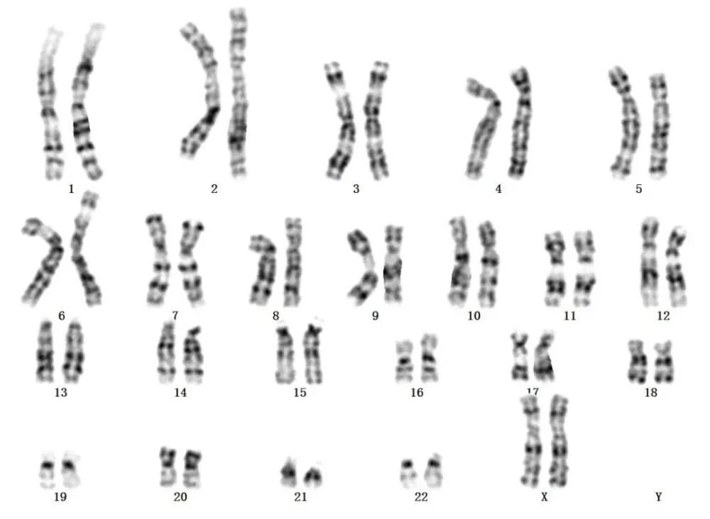
进一步的外周血染色体报告提示“46,XX”(提示遗传性别为女性)

我知道这些专业名词很难懂,总结一句话就是:同床共枕5年的丈夫,不是“男人”,不是“男人”……

日常生活中,我们判断一个人是男是女只是依据表型, 但是眼见不一定为实。
从医学角度,人的性别可以分为染色体性别(遗传性别)、性腺性别(卵巢或睾丸)和表型性别。
虽然小刘丈夫表型、性腺都为男性,自认性发育、勃起功能、性生活、射精均正常,但染色体却为女性46,XX,临床上称为46,XX男性综合征。

“46,XX男性综合征”到底又是怎么回事?还能不能健康生育?让我们来了解一下。
1、46,XX男性综合征
46,XX男性综合征是一种罕见的先天性双性遗传病。1964年由De la Chapelle等首次报道,在男性中发病率约为1/20000。
患者染色体为46,XX,但表型为男性,因为没有正常的Y染色体,可能存在程度不一的性腺发育不全的表现。

人类性别发育过程非常复杂,主要包括性别决定和性别分化两个重要步骤。
每个独立的性别发育阶段都会受到各阶段特异因子的严格调控,一旦任何环节出现问题,均有可能导致性发育障碍。

男人之所以为男性,是因为有Y染色体。
Y染色体短臂Yp11.32区域有一个非常重要的基因,叫SRY基因。
SRY基因是性别决定基因,能够激活睾丸发育通路,使得雄性胚胎发育。
SRY基因缺失、突变、易位均可导致性别发育障碍。

根据临床表型,46,XX男性综合征有三种类型:
▪表型正常的男性;
▪外生殖器模糊不清(尿道下裂、小阴茎等)的男性;
▪46,XX真两性畸形。
SRY阳性的46,XX男性综合征,患者大部分出生时有正常男性表型,通常在成年后,因“不育”问题被确诊。
主要表现为高促性腺激素性性腺功能减退、无精症、睾丸发育不全、男性乳房发育、身材矮小等。少部分SRY阳性患者可能表现为外生殖器模糊或内生殖器存在卵睾组织。
SRY阴性的46,XX男性综合征,与SRY阳性的46,XX男性综合征相比,患者外生殖器模糊更多见,出生时即可发现尿道下裂、不同程度的外生殖器模糊、隐睾等。

由于46,XX男性综合征主要影响性腺发育,一般不影响智力,仅从外表难以诊断。当怀疑46,XX男性综合征时,建议联合运用染色体、FISH、SRY基因等检测。
2、该如何健康生育后代?
46,XX男性综合征的临床表现不一,多以对症治疗为主,通过医学手段提高患者生活质量。
👉激素治疗:
可通过激素替代治疗维持第二性征、性欲及性功能。
👉外科干预:
包括外生殖器重建、性腺切除等,性腺发育不全和含有Y染色体成分的性发育障碍患者成年期发生性腺肿瘤的风险高,青春期后需密切关注,必要时需要预防性性腺切除,以防止性腺肿瘤的发展。
👉心理干预:
无论遗传性别是什么,都要遵循患者性别认同为主,必要时予以心理辅导。
👉生育诉求:
生育能力无法解决,建议通过供精进行辅助生殖技术助孕。
写在最后,这个事件也让我们深刻认识到基因遗传对人类的影响,提醒我们更要重视婚前检查和孕前检查,做到早发现,早治疗,避免在生育上走“弯路”。

小提示
最近小橄榄发现微信进行了规则调整,如果不经常点“在看”的话,可能您就看不到【好孕小百科】的推送了。
小橄榄非常希望能让更多人了解试管好孕知识,也希望为更多想要宝宝的家庭带来好孕,所以请大家阅读完文章且喜欢的话,记得给小橄榄“在看”“点赞”“分享”三联哦~





声明:本文为原创文章,如若转载,请注明出处:https://mp.ivf-8.com/article-11410.html
任何关于疾病的建议都不能替代执业医师的面对面的诊断和治疗,本文内容仅作为参考信息,本站不承担由此引起的法律责任。
