
染色体满载人类的遗传物质,其重要性不言而喻。
做产检是每位准妈妈都必须认真面对的事情。
通过各项产检可以预测胎儿的发育状态,如果有高危致病因素,也能第一时间发现。
其中,「染色体检查」就是产检中一项很重要的检查。

最近小橄榄就收到姐妹的留言:
“夫妻俩都查过染色体了,是正常的,怎么怀孕后胎儿还出现染色体异常?”。
对于在备孕路上苦苦等待的夫妻俩来说,这无疑就是当头一棒,瞬间粉碎了刚刚获得成功怀孕的喜悦心情。
但是我们首先需要明确两个概念:
①染色体人类的遗传物质,是父母向下一代遗传的基本方式。
②夫妻自身染色体正常,胚胎染色体也可能出现异常,这个跟年龄、胚胎自身发育、环境因素等有关。
今天就来给姐妹们科普一下染色体与胎儿之间的“爱恨情仇”。
一、什么是染色体?
人类具有46条染色体, 按照其大小和形态分为23对,第1至22对为常染色体,为男性和女性所共有。
第23对为性染色体,男性为XY,女性为XX。
正常男性的染色体体标记为46,XY。正常女性的染色体标记为46,XX。

⚠️但是!要注意的是「染色体核型正常,不仅要求数目正常,也要求结构正常。」

二、染色体异常会有什么危害?
人类胚胎的染色体如果多一条或者少一条,都会导致严重的后果。
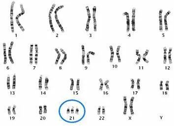
比如大家比较熟悉的导致智力低下最常见的疾病—唐氏综合征(也叫21三体综合征、先天愚型),就是多了一条21号染色体。

而染色体多了或者少了,更常见的是胎儿的自然流产。
这也是人类进化过程中为了物种稳定遗传的一种自我保护机制,不让有问题的胚胎发育成胎儿。
自然流产胚胎中染色体异常,也有很多种类型,其中最常见类型就是某条染色体多一条。
三、夫妻染色体正常,胎儿染色体会正常吗?
夫妇生育后代时,会分别将自己一半的染色体平均分配给自己的后代。
这个分配的过程是伴随着精子或者卵子的成熟过程的,生物学上称之为“减数分裂”。

而染色体异常大部分是随机发生的,在受精卵形成过程中,染色体重新组合、重新分配。
会因为某些不明的原因出错,造成染色体数目或结构的异常。
对于这类父母染色体正常而胎儿染色体异常者,一般称之为“染色体新发畸变”。
四、染色体异常的原因都有哪些?
01
母亲的年龄
随着孕妇年龄的增长,卵子发生衰老的情况比较多见。

因为卵细胞以及纺锤丝的老化,生育子代的时候,在遗传物质传递的过程中,发生同源化染色体不分离的情况比较多见。
所以染色体异常的概率比较高,同时这个过程还影响成熟分裂中同对染色体之间的关系和分裂后期的活动。
02
如果父母双方其染色体异常携带者或者父母一方为染色体异常携带者。
那子代只有1/18的正常几率,有1/18的携带几率。
即与其父母双方染色体的核型是一样的话,其他的16/18都是部分单体或者部分三体,都不能存活。

03
各种有毒的、有害的物质以及气体,通过日常的饮食、呼吸、皮肤等途径进入人体内,引起染色体异常,比如油漆、农药等接触史。
四、如何减少染色体异常的发生?
(1)尽早备孕
胚胎染色体异常90%是和母亲的卵子携带了异常的遗传物质有关系的
只有不足10%和丈夫的精子携带异常的遗传物质有关系。
女方卵子携带遗传物质错误的几率会随着年龄的增长而增加。
35岁以上的高龄孕妇最易发生胎儿染色体异常。

(2)定期产检
孕妇在怀孕期间一定要定期产检,一般超过35岁的孕产妇都要进行羊水诊断。
没有达到35岁但有遗传病或染色体异常病史的也建议进行羊水诊断。

(3)第三代试管婴儿PGD/PGS技术
胎儿染色体异常,在出生缺陷中占据一定的比例。
一旦胎儿发生染色体异常,将会导致智力低下,生长发育迟缓,先天性畸形等异常,且出生后缺乏有效的治疗措施。
目前避免胚胎染色体异常最好的方法就是运用第三代试管婴儿PGD/PGS技术。

通过对胚胎进行基因诊断、染色体筛查,可以有效的筛查出不良胚胎,排除掉染色体异常胚胎,避免因染色体问题而造成的流产风险。
而且,经过PGD/PGS检测筛查过的胚胎,胚胎质量更高,成功率高达60%~75%。
不过,姐妹们也不用太担心,染色体遗传突变时有发生。
有些染色体变异可能不会有太大的影响,有些则会导致流产、胎儿畸形等。
希望各位姐妹还是要按时产检,避免不好的情况发生。

小提示
最近小橄榄发现微信进行了规则调整,如果不经常点“在看”的话,可能您就看不到【好孕小百科】的推送了。
小橄榄非常希望能让更多人了解试管好孕知识,也希望为更多想要宝宝的家庭带来好孕,所以请大家阅读完文章且喜欢的话,记得给小橄榄“在看”“点赞”“分享”三联哦~





声明:本文为原创文章,如若转载,请注明出处:https://mp.ivf-8.com/article-107.html
任何关于疾病的建议都不能替代执业医师的面对面的诊断和治疗,本文内容仅作为参考信息,本站不承担由此引起的法律责任。
