
喜得贵子本是一件高兴的事,但却让不少养宠家庭犯了难。
关于孕期养宠对胎儿不好的言论满天飞,其中可能造成严重后果的要属弓形虫,猫咪做为弓形虫宿主之一,一度让它成为众矢之的(小猫咪能有什么错,只不过想陪“小主人”罢了
)。

但是,今天小橄榄就要打破那些有关「怀孕不能养猫」的谣言,是时候该用科学的态度看待问题了!!!
1、弓形虫危害有多大?
弓形虫是一种可专性寄生在人与绝大部分温血动物体内的机会性致病原虫,它广泛寄生在人和动物的有核细胞中。
此外,几乎所有温血动物(包括猫、狗、猪、羊、鼠等)都可能是人弓形虫感染的来源。在免疫力正常时,弓形虫在身体内多以隐形存在,不会对身体导致实质性危害。
一旦免疫力低下,或受到其它病原体侵害,便会急性发作,使原有的隐性感染活化,产生弓形虫肺炎。
🔹孕期感染
由于孕妇其特殊的生理变化,对弓形虫病的易感性较高,感染后将通过胎盘或产道传播,引起宫内胎儿感染。
早期感染:可导致胎儿流产或畸形。
中期感染:可导致胎儿早产或有严重的脑部、眼部疾病。
晚期感染:胎儿发育看似正常,但出生后会逐渐出现弓形虫感染症状,如小头畸形、智力低下等。
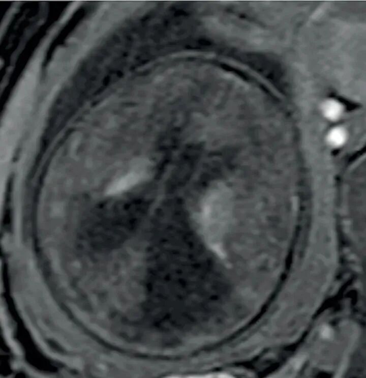
2024年3月16日,《柳叶刀》发布了一则孕妇孕晚期因感染弓形虫,导致胎儿脑部严重畸形的病例。

一名33岁初产妇,孕36周常规超声生长发育检查时,发现胎儿双侧及第三脑室严重扩张,脑实质病变,但生长发育正常。

随后行MRI检查显示尾状核丘脑沟异常信号,脑室周围白质广泛水肿样改变(图3),胎儿大头畸形及肝脾大。


考虑该孕妇为试管婴儿受孕,夫妻双方均为囊性纤维化携带者,植入前基因检测囊性纤维化跨膜传导调节因子(CFTR)突变阴性,家族中无先天畸形史。
进一步沟通病史后,发现孕妇居住地家中后院有流浪猫出没,孕期曾多次食用煮熟野味。

🔹儿童感染
儿童感染可导致中枢神经系统损害,患者可出现脑积水、脑钙化和各种脑畸形。
此外,还会出现抽搐、脑神经瘫痪、运动和意识障碍、智力低下等症状。
2、感染弓形虫的途径
弓形虫病对外传染表现为先天性传染和获得性感染两种形式。
🔹先天性感染
弓形虫通过血液流经胎盘,而使胎儿感染,称为先天性感染,这种感染只发生在母体出现弓形虫症时。
据统计孕妇感染者,约有50%的胎儿是先天性感染。
🔹获得性感染
主要由外界获得而感染,获得途径主要有:
饮食传染:食用了被弓形虫感染且未煮熟的动物肉、蛋、奶等食物。
粪便传染:通过猫粪中的弓形虫卵囊而感染,猫粪中的卵囊可通过污染的水源或食物感染人。
皮肤破损感染:被感染了弓形虫的猫狗等宠物舔舐黏膜或伤口而感染。
血液传染:人体血液中的弓形虫可通过输血、器官移植感染。

(弓形虫传播示意图)
那么,家养宠物身上一定有弓形虫?
猫和猫科动物是弓形虫的最终宿主,不过这并不能代表猫天生就携带弓形虫。
猫只有吃了带有弓形虫的生肉或是捕食了感染弓形虫的老鼠等其它生物,才会被感染。
家养猫平时饮用的食物和水源又都是干净安全的,所以感染的概率是很小的。
而被感染的猫会通过粪便传播,且在24小时后才会出现传染性,只要每天及时清理粪便,感染的风险可以说微乎其微。

3、孕妇如何避免弓形虫感染?
“家里有孕妇,是不是就不能养猫狗了?”
大可不必!弓形虫并没有那么容易感染,它的条件苛刻到没两把刷子, 真不容易做到。

当然凡事无绝对,即便感染概率再低,该有的防范措施还得有,下面这些招式要记牢:
▪避免食用生肉或未煮熟的肉类。
▪注意生食、熟食砧板不要混用。
▪怀孕期间减少与流浪动物接触的机会,尤其是猫科动物。
▪日常处理园艺或接触土壤、沙子时戴上一次性手套。
▪勤洗手,做好预防工作,搞好环境及个人卫生,也是降低发病率的重要措施。
此外,食用生肉和经常接触流浪猫狗是影响孕妇感染的重要因素。
孕产妇是弓形虫感染的高危人群,因此弓形虫血清抗体筛查是孕检重要的环节。
若感染弓形虫病,需治疗半年后再怀孕,这是防止先天性畸形儿出生的有效措施之一。对明确诊断的孕妇应积极治疗,减少垂体传播风险。
写在最后,每次在网上看到很多准妈妈和猫咪的温馨视频,底下总有一堆人在说三道四。

你们其实并不知道,一切都只是道听途说罢了。
希望大家能把这篇文章转发出去,让更多的准妈妈、准爸爸看到。
猫和娃都是家里必不可少的成员,一个都不能少!


小提示
最近小橄榄发现微信进行了规则调整,如果不经常点“在看”的话,可能您就看不到【好孕小百科】的推送了。
小橄榄非常希望能让更多人了解试管好孕知识,也希望为更多想要宝宝的家庭带来好孕,所以请大家阅读完文章且喜欢的话,记得给小橄榄“在看”“点赞”“分享”三联哦~





声明:本文为原创文章,如若转载,请注明出处:https://mp.ivf-8.com/article-13892.html
任何关于疾病的建议都不能替代执业医师的面对面的诊断和治疗,本文内容仅作为参考信息,本站不承担由此引起的法律责任。
