
在试管助孕过程中,获得一枚健康的成熟卵子,是治疗成功的必备条件。
但是,小橄榄在备孕群里看到部分姐妹有这样的认知,觉得卵子取出之后就高枕无忧了。
![]()
在常规的试管促排卵治疗中,每个促排周期中的大多数卵子发育是同步的,卵子基本上都可以成熟,但仍然有10~15%的不成熟卵子,这属于正常情况,一般不影响试管治疗。
但是,有0.1~1%的少数试管姐妹,在促排中得到的卵子大部分是不成熟的或是反复促排卵治疗中均无法获得成熟卵子,最终导致不孕,这种情况我们通常称之为卵子成熟障碍。

今天小橄榄今天就结合最新文献和大家一起聊聊卵子成熟障碍的问题。
1、卵泡发育过程
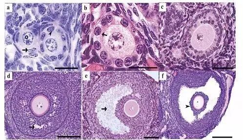
正常发育过程中,卵巢内的卵泡会经历如下图(图1)从原始卵泡到初级卵泡、次级卵泡、窦前卵泡、窦卵泡以及最后排卵前卵泡这样一个过程,期间伴随着卵子的减数分裂和细胞质成分的积累。

(图1:卵泡发育过程)
卵子从初级卵母细胞从生发泡期(GV)发育至MⅠ期,在排卵前,卵子达到MⅡ期,完成成熟发育(见图2)
在临床上,根据形态特征,我们将卵子分为三个成熟阶段:GV、MI、MII(如图所示)。只有MII期的卵子才能称为成熟卵。在试管婴儿治疗中,只有成熟卵才能完成受精过程。

( 图:卵子的成熟过程)
2、卵子成熟障碍的原因
🔹GV期阻滞
减数分裂从阻滞于双线期的GV期卵子开始,首先其启动受成熟促进因子( MPF)的激活调控;第一次减数分裂的启动和进入中期的形态学标志是生发泡破裂( GVBD)。
在动物模型中对促使 MPF 激活的关键调控事件的干扰可导致卵子阻滞在GVBD之前的阶段, 即通常说的GV 期阻滞。
因此,卵子抑制阻滞在 GV 期的妇女,其MPF 激活信号转导途径存在缺陷。
🔹MI阻滞
卵子在排出第一极体前发生阻滞,即形态学上的MI阻滞,一般认为是由于调节减数分裂的信号转导通路缺陷,或者减数分裂纺锤体异常导致的。
常见的MI期发育阻滞卵子有两种类型:正常的纺锤体结构卵和染色体畸变卵。
🔹MII阻滞
形态学分类为 MII期卵子通常认为是“成熟卵子”,它阻滞在第二次减数分裂中期,并认为是具备受精能力的。但是, 有些妇女产生的形态学上的MII卵子并不能受精形成胚胎。
这种形态学的成熟度和受精能力不一致的现象可能是由于包含了处于Pb1形成和MII之间形态学分类的不成熟卵(这些卵子无受精能力)或卵子阻滞在MII期却不具备完成减数分裂的能力,受精缺陷也会产生相似的临床表现。
目前关于卵子成熟障碍的具体原因仍然不能明确,对于以上研究,仍需更多的研究来证实这些相关蛋白的改变与卵母细胞成熟障碍有关。

根据近日发表于《新英格兰医学杂志》上的一项研究揭开了卵子成熟障碍背后的遗传学机制,该研究显示TUBB8基因对卵母细胞和早期胚胎的发育非常重要,该基因编码了几乎所有的β微管蛋白。
TUBB8的突变影响α/β-微管蛋白异质二聚体的组装过程,从而破坏细胞的微管网络,改变体内微管的动力学,导致纺锤体的形成出现严重的缺陷,影响卵母细胞减数分裂纺锤体的组装,从而导致女性不孕。

3、卵子成熟障碍的治疗手段
一般情况下,在常规的试管周期中总有那么1-2个卵子是未成熟卵,这部分卵子因为占比不大很难被医生重视。
但如果未成熟卵的比例过大,就会影响整个周期的卵子利用率,在以往很多生殖中心实验室,针对未成熟卵往往采用丢弃的方法。
现如今,随着辅助生殖技术的不断更新,胚胎学家们尝试对于这些不成熟的卵子进行体外培养,并且也有不错的成绩。
未成熟卵子体外成熟培养 (简称IVM)是指不需要常规使用促排卵药物,其通过阴道穿刺取出未成熟卵子,首先在特殊的体外培养液中进行培养成熟,然后通过单精子注射的方式与其丈夫的精子结合。
👉卵子体外成熟技术的优点:

✔️极大减少甚至避免不孕症患者所需促排卵药物费用,大大减轻患者经济负担和促排卵引起取卵出血、卵巢蒂扭转等并发症的出现。
✔️对促排卵容易过激反应的PCOS等患者,可以避免产生卵巢过度刺激综合征的风险。
✔️有些患者的卵巢对促性腺激素的刺激反应低下,不能获取足够数量的卵母细胞进行体外受精,可同时取出未成熟卵在体外成熟受精,有更好的累计妊娠率。
✔️ 避免促排卵药物对肿瘤或肿瘤复发高风险患者的风险,很多人尝试减少或不使用外源性促性腺激素,而采用自然周期等方法以避免其副作用,但均因不能产生足够的成熟卵母细胞而难以在实际中应用。如果能将未经刺激的未成熟卵母细胞在体外成熟,则可能克服上述的缺点。
解决方法是有了,但是大部分姐妹都会考虑到安全问题,那IVM安全吗?
一个新事物的出现,总是会遭到质疑,IVM也不例外,很多女性都担心使用该技术的话自己会生出一个“怪胎”。
相对于传统的试管婴儿技术,在使用卵子的体外成熟技术时,卵子被获取前不需要大量促排卵药物的使用,这就减少了总的花费,同时不需要对卵巢进行刺激,因此也更为安全。
目前已有大量对卵子体外成熟技术进行改良的研究,此技术已日臻成熟,卵子体外成熟的培养液也已经商品化。
虽然卵子的体外成熟不能完全代替传统的试管婴儿技术,但该技术在辅助生殖中得到了广泛肯定,已成为世界上多个中心成熟的治疗方案之一。

对于卵巢储备大户(多囊卵巢综合征)来说,几个未成熟卵的影响或许不大,但对于卵巢储备岌岌可危的人群来说,如果能经过培养或改善,提高未成熟卵子的利用率就可以减少试管进周的次数,提高妊娠率,那这件事还是值得去做的。
所以各位姐妹可以放下心理包袱,接受生殖医生的建议,才能顺顺利利抱娃回家哦!

小提示
最近小橄榄发现微信进行了规则调整,如果不经常点“在看”的话,可能您就看不到【好孕小百科】的推送了。
小橄榄非常希望能让更多人了解试管好孕知识,也希望为更多想要宝宝的家庭带来好孕,所以请大家阅读完文章且喜欢的话,记得给小橄榄“在看”“点赞”“分享”三联哦~





声明:本文为原创文章,如若转载,请注明出处:https://mp.ivf-8.com/article-10505.html
任何关于疾病的建议都不能替代执业医师的面对面的诊断和治疗,本文内容仅作为参考信息,本站不承担由此引起的法律责任。
