
长久以来,我们都把胚胎当成“主角”,而把子宫内膜当成“配角”。
但其实,子宫内膜有权对胚胎说“不”!
并且,子宫内膜十分“傲娇”,并不是任何时候都接受胚胎的,它有一个短暂的「种植窗口」,只有在这段时间内,子宫内膜才向胚胎伸出橄榄枝。
而这个「种植窗口」则是决定试管妊娠是否成功的关键因素。

今天橄榄树生命小橄榄就来和大家讲讲「哪些因素会影响子宫内膜容受性?」、「需要进行内膜容受性评价的人群」以及「该如何评价子宫内膜容受性」!
首先,那这么重要的能力会受到哪些因素的影响呢?
① 子宫肌瘤
子宫肌瘤是子宫平滑肌和结缔组织增生形成的科常见良性肿瘤。
按照其与子宫肌壁的位置分为浆膜下肌瘤、肌壁间肌瘤、黏膜下肌瘤。

浆膜下肌瘤对妊娠影响较小,黏膜下和侵人宫腔的肌壁间肌瘤影响较大。
在一项实验中,对19项试验6 087个病例进行系统评价和荟萃分析显示,非侵入宫腔的肌壁间肌瘤患者体外受精-胚胎移植(IVF-ET)的活产率较正常女性显著下降(RR=0.79,95%CI[0.70,0.88,P<0.0001 ,临床妊娠率也下降(RR=0.85,95%CI[0.77,0.94],P=0.002)。
② 子宫内膜息肉(EP)
子宫内膜息肉是子宫内膜局部腺体和间质组织增生形成的良性病变,在女性中的发病率约10%。
EP的大小、数目、位置都影响IVF妊娠结局。
EP不仅能够造成内膜容受性标志物的降低,还能够增加炎性因子表达,进而损伤子宫内膜容受性。
有报道称IVF失败史患者,尤其是反复移植失败(repealted implantation failure,RIF)患者,再次IVF前进行宫腔镜下EP切除术很必要。
③ 宫腔粘连(IUA)
子宫内膜基底部损伤后异常愈合的结果,其原因主要是宫腔感染、子宫内膜损伤等。
IUA破坏子宫内膜形态结构和功能完整性,造成宫腔狭小、畸形甚或封闭,损伤子宫内膜容受性,降低妊娠率,增加流产风险。
④ 子宫内膜异位症(EMs)
EMs是具有活性的子宫内膜种植在宫腔以外的部位。
有学者认为,EMs患者存在子宫内膜缺陷,由于EMs的炎症性质伴有孕激素抵抗,会引起子宫内膜基质分化不足。

另外EMs会导致种植窗期相关标志物表达异常,以及子宫内膜蜕膜化障碍,这些都是导致子宫内膜容受性下降的重要原因。
虽然EMs对子宫内膜容受性的影响存在一些争议,但是大部分学者还是认为EMs会降低子宫内膜容受性。
⑤ 输卵管积水
输卵管积水降低了IVF50%的胚胎种植率及妊娠率,增加自然流产和异位妊娠的发生率。
此外,输卵管积液向宫腔逆流对内膜机械性冲刷,积液中有毒有害物质侵害子宫内膜,肿瘤坏死因子(tumor necrosis factor- a , TNF-o )和白介素-2( interleukin-2,IL-2)等炎症因子表达增加33’,影响胚胎顺利着床。
有研究显示,输卵管积水患者子宫内膜HOXA-10、E-钙黏素表达下降,通过NF-xcB/miR-133b/SGK1/HOXA10通路影响胚胎粘附,影响子宫内膜容受性,从而降低胚胎着床率。
所以,橄榄树生命专家建议以下人群在试管移植前,进行子宫内膜容受性检查:
目前,评估内膜容受性的方法很多,主要有「形态学标志法」、「超声学评估」和「子宫内膜容受性基因芯片」3种方式:
通过电子显微镜观察内膜的胞饮突,操作比较复杂,而且这是有创的检查,可能会干扰正常胚胎着床过程,不能同步评价这个周期胚胎种植情况。

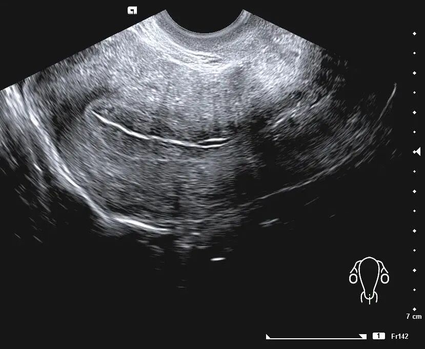
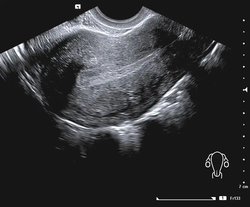
阴道B超是目前临床最常用的评估子宫内膜容受性的无创的方法,可以直接观察到内膜的厚度、类型、容积与血流、蠕动波等。
常用的评价子宫内膜容受性的B超指标包括:
① 子宫内膜厚度
子宫内膜厚度是评价子宫内膜发育最简单、最常用的指标。
一般认为正常子宫内膜种植窗口期厚度约在9-11mm之间为最佳。

内膜<7mm时,妊娠率显著下降,< 6mm几乎没有妊娠的可能。但临床,极少数时候能看到4~5mm,也成功分娩的病例。
过厚的子宫内膜也被认为不利于胚胎着床,>14mm时,妊娠率也下降。
② 子宫内膜类型
子宫内膜类型分为 A、B、C 3 种。
A型,也就是三线型内膜;
B型,为弱三线型;
C型,均质强回声。

C型,宫腔中线回声模糊

B型,子宫内膜呈现为相对均匀的中等回声内膜,宫腔中线尚清楚

A型,三线呈均质线状的高回声,三线和子宫肌壁及宫内膜的分界比较清楚
取卵日、移植日子宫内膜呈三线征,即A型者,妊娠率显著高于后两者。
目前大多数研究证明, A型子宫内膜临床妊娠率显著高于 B、C型子宫内膜。
③ 子宫内膜的血流动力学参数
搏动指数(PI)和阻力指数(RI),PI和RI越低,说明血管阻力越低,卵巢和子宫血供良好;反之,血管阻力越高,子宫动脉血流减少, 供血障碍,这将不利于胚胎着床。
子宫内膜容受性基因芯片是基于子宫内膜活检分析植入窗特有的基因的表达情况,将子宫内膜分为非容受性期和容受期,从而评价不孕患者内膜容受性的分子诊断测试。
但目前,因为费用高昂,且为有创检测,开展较少。

小提示
如果不经常点“在看”的话,可能您就看不到【好孕小百科】的推送了。
小橄榄非常希望能让更多人了解试管好孕知识,
也希望为更多想要宝宝的家庭带来好孕,
所以请大家阅读完文章且喜欢的话,
记得给小橄榄“在看”“点赞”“分享”三联哦~





声明:本文为原创文章,如若转载,请注明出处:https://mp.ivf-8.com/article-496.html
任何关于疾病的建议都不能替代执业医师的面对面的诊断和治疗,本文内容仅作为参考信息,本站不承担由此引起的法律责任。
